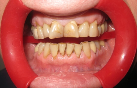
Veneers are a thin layer of porcelain or composite that are placed over damaged or discoloured teeth. The result is the tooth’s appearance is very much improved.
Procedure
A small amount of tooth is removed from the front surface of the tooth.
An impression is taken of this and sent to the lab. The veneer returns 2 weeks later and fitted to the tooth with a resin glue and set with a curing light.
Benefits
- Very little tooth is removed. The procedure can be done without local anaesthetic in some cases.
- The appearance of the teeth after treatment is very beautiful. Discolouration, imperfections, stains and old fillings can be hidden.
- Veneers have a protective function against acids in the diet and body that would otherwise wear the teeth and cause sensitivity.
- We do a procedure called a SMILE LIFT. This involves numerous veneers on the front teeth. The results are always very beautiful. This is a very common cosmetic procedure at our clinic.
Back to treatments