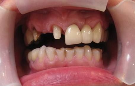
Bridges

What are they?

Bridges are made to replace teeth that are missing.

Procedure

The teeth on either side are prepared as for crowns and a bridge is placed over the the prepared teeth. The gap is then filled with a cosmetically acceptable tooth to restore aesthetics.

Back to treatments